
بوی بد دهان ناشی از خلط پشت حلق را چگونه درمان کنیم؟
آگوست 29, 2024
روکش دندان عصب کشی شده چگونه و چرا انجام میشود؟
سپتامبر 16, 2024Last Updated on اکتبر 23, 2025 by دکتر سیده مریم حاکم زاده
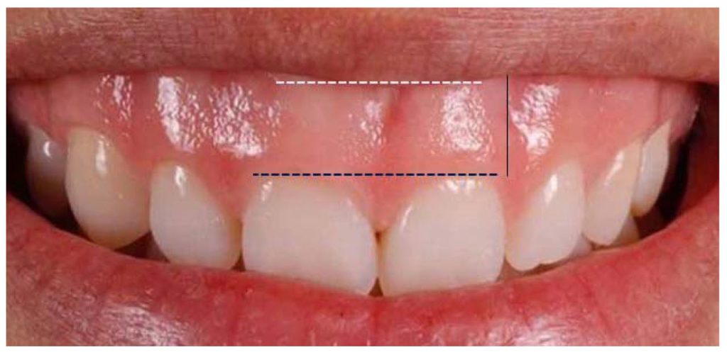
اگر لبخند لثه ای(gummy smile) دارید، شاید از ظاهر لبخندتان راضی نباشید. لبخند لثه ای چیست؟ چطور میتوان لبخند لثه ای را درمان کرد؟ اینها احتمالا سوالاتی هستند که اگر با این مشکل روبرو هستید، به دنبال پاسخ آنها میگردید. لبخند لثه ای حالتی است که در هنگام لبخند زدن، بافت لثه به میزان زیادی نسبت به دندانها نمایان میشود. به طور کلی، در یک لبخند متناسب، لب بالایی باید کمی بالاتر از دندانهای بالایی قرار بگیرد (بین 0 تا 2 میلیمتر بالاتر). این به این معنا نیست که هر لبخند دیگری به طور قطع، کمتر جذاب است، اما چشم انسان ممکن است لبخندهایی را که تناسب کمتری دارند، نامتقارن یا ناموزون در نظر بگیرد. افرادی که خنده لثه ای دارند، ممکن است از این بابت احساس ناراحتی کنند. با این حال، این یک مشکل رایج برای بسیاری از افراد است و نباید دلیلی برای خجالت یا نگرانی شما باشد.
اگر خنده لثه نما دارید و میخواهید ظاهر لبخند خود را تغییر دهید، چندین گزینه در اختیار شما خواهد بود. شما میتوانید به کمک جراحی یا روشهایی که به جراحی نیاز ندارند، به راحتی درمان شوید. با مطالعه این مقاله، متوجه خواهید شد که چگونه میتوان لبخند لثه ای را درمان کرد.

چرا لبخند لثه ای ایجاد میشود؟
دلایل مختلفی میتوانند باعث ایجاد لبخند لثه ای شوند. این دلایل عبارتند از: مشکلات رشد فک، رویش غیرطبیعی دندانها، نامرتب بودن دندانها (مال اکلوژن ، بیشفعالی لب بالایی (بالا رفتن بیش از حد لب بالایی هنگام لبخند)، مشکلات عضلانی و غیره. برای درمان لبخند لثه ای، ابتدا باید به سراغ علت زمینه ای و عامل اصلی بروز این مشکل برویم. در ادامه، به توضیح مختصری از دلایل ایجاد لبخند لثه ای خواهیم پرداخت.

- مشکلات رشد فک: در حین رشد استخوان فک، ممکن است بخش جلویی فک بالا بیش از حد بیرون بزند. این امر باعث میشود که هنگام لبخند زدن، لثه بیشتر نمایان شود.
- رویش غیرطبیعی دندانها: اگر دندانها به طور غیرطبیعی از لثه بیرون بیایند، ممکن است کوتاهتر به نظر برسند. در این حالت، بافت لثه بخش بیشتری از دندانها را میپوشاند. این مشکل به معنای کوتاهی ذاتی دندانها نیست، بلکه به دلیل پوشیده شدن به وسیله لثه، دندانها کوتاهتر به نظر میرسند.
- بیش فعالی لب بالایی: بیشفعالی لب بالایی (هایپرتروفی عضله لب بالایی) به وضعیتی گفته میشود که لب بالایی هنگام لبخند زدن، بیش از حد معمول بالا میرود. این امر باعث میشود هنگام لبخند زدن، لثه بیشتر نمایان شود.
- بافت لثه ای بیش از حد: وجود بافت لثه ای بیش از حد روی دندانها، یکی از دلایل بسیار شایع لبخند لثه ای است.
- هایپرتروفی لثه (Gingival hyperplasia): هایپرتروفی لثه وضعیتی است که در آن، لثه به دلیل باکتری، دارو یا مشکلات زمینه ای سیستمیک مانند لوسمی، HIV یا دیابت، ملتهب میشود. هایپرتروفی لثه یک بیماری زمینه ای است و قبل از درمان لبخند لثه ای، باید به رفع این مشکل پرداخته شود.
چگونه لبخند لثه ای را درمان کنیم؟
همانطور که گفتیم، روشهای مختلفی برای درمان لبخند لثه ای وجود دارد. باید دقت داشته باشید که حتما در مورد هر گونه مشکل مرتبط با دندان با دندانپزشک خود صحبت کرده و بر اساس تشخیص او، گزینههای درمانی را انتخاب نمایید. پس از معاینه توسط دندانپزشک، میتوانید از بین روشهای مختلف درمانی، گزینه مناسب خود را انتخاب کنید. آگاهی از علت زمینه ای لبخند لثه ای شما، به تعیین بهترین روش درمانی برای رفع آن کمک خواهد کرد. روشهای اصلاح لبخند لثه ای را می توان به دو دسته کلی جراحی و عدم جراحی تقسیم نمود. اگر تمایلی به جراحی ندارید، میتوانید گزینههایی که به جراحی نیاز ندارند را بررسی کنید.
درمان های بدون جراحی برای لبخند لثه ای
همه افراد تمایلی به جراحی برای درمان لبخند لثه ای ندارند. بنابراین، ابتدا به بررسی تمام گزینههایی که به جراحی نیاز ندارند، میپردازیم. ما با توجه به شرایط و نیازهای شما، هر روش درمانی موجود را بررسی خواهیم کرد. پس بیایید با هم نگاهی به تمام گزینههای بدون جراحی برای درمان لبخند لثه ای بیندازیم.
1.مشکلات بایت یا فک؟ درمان ارتودنسی را امتحان کنید!
اگر علت لبخند لثه ای شما مشکلات ارتودنسی مانند نامرتب بودن دندانها یا مشکلات فک باشد، میتوانید از درمانهای ارتودنسی (مانند استفاده از ابزارهای اصلاحکننده دندان مثل بریس) برای بهبود آن استفاده کنید. یکی از راههای تشخیص علت ارتودنسی، توجه به خط لثه است. اگر ردیف دندانها به طور نامتقارن به سمت خط لثه متمایل شده باشد، احتمالا علت آن یک مشکل ارتودنسی است. درمانهای ارتودنسی نه تنها مشکل لبخند لثه ای را برطرف میکنند، بلکه مشکلات زمینهای جدیتر مانند نامرتب بودن دندانها و مشکلات فک را نیز اصلاح مینمایند.
با قرارگیری دندانها در موقعیت صحیح، لثه نیز به تدریج در جایگاه مناسب خود قرار میگیرد. مشکلات ارتودنسی میتوانند در طول زمان باعث ایجاد درد و بروز مشکلات جدی در زمینه سلامتی شوند. پس از استفاده از این درمانها، لثهها نیز کوچکتر به نظر رسیده و لبخندی متناسبتر را برای شما به ارمغان میآورند. اما این موضوع بدان معنا نیست که در همه موارد، درمان ارتودنسی به تنهایی برای رفع مشکل کافی باشد. گاهی اوقات برای رسیدن به نتیجه مطلوب، ممکن است به درمانهای دیگری نیز، احتیاج داشته باشید.
2.دندان های کوچک؟ روکش یا تاج را امتحان کنید
یکی از دلایلی که باعث می شود لثه های شما هنگام خنده بیشتر نمایان شود این است که دندان های شما ممکن است کوچک یا کوتاه باشند. توجه داشته باشید که عدم تناسب است که توجه چشم را به سمت لثه ها جلب میکند. دلیل کوتاهی دندان ها ممکن است ژنتیک یا ساییدگی دندان ها باشد. روکش ها و تاج دندان گزینه های دندانپزشکی زیبایی هستند که به شما امکان می دهند لبخند خود را مطابق با نیازها و شرایط مورد نظر خود طراحی کنید. برای تغییر اندازه دندان ها و بزرگتر نشان دادن آنها می توانید ونیر کامپوزیتی یا لمینت دندان را در نظر داشته باشید. اینکار نسبت دندان و لثه را متعادل می کند تا لبخند لثه ای را اصلاح کند.
3.تمیز کردن دندان به صورت عمقی (جرمگیری و صاف کردن سطوح ریشه)
جرمگیری و صاف کردن ریشه (که به آن Scaling & Root Planing نیز گفته میشود) روشی است که دندانپزشکان معمولاً برای از بین بردن پلاک تجمع یافته روی دندانها از آن استفاده میکنند. با این حال، این روش میتواند برای رفع مشکل لبخند لثه ای نیز مفید باشد.
در طول فرآیند جرم گیری، دندانپزشک با استفاده از ابزارهای مخصوص، پلاک و جرم را از روی سطح دندانها و حتی تا زیر خط لثه (که به آن “پاکِت پریودنتال” گفته میشود) از بین میبرد.
سپس در مرحله صاف کردن سطوح ریشه، دندانپزشک سطح ریشه دندانها را صاف و صیقلی میکند. این کار باعث میشود که لثهها به راحتی به ریشه دندانها بچسبند و خط لثه به جایگاه مناسب خود بازگردد. در نتیجه این فرآیند، ممکن است خط لثه شما کمی تغییر کرده و به سمت پایین حرکت نماید.
4.لب بیش فعال؟ بوتاکس را امتحان کنید! (هایپرتروفی عضله لب بالایی)
اگر علت لبخند لثه ای شما، حرکت بیش از حد عضله لب بالایی بوده اما تمایلی به جراحی ندارید، میتوانید بوتاکس را امتحان کنید. تزریق بوتاکس به لب بالایی، باعث شل شدن عضلات آن ناحیه شده و از حرکت بیش از حد لب، جلوگیری میکند. به این ترتیب، هنگام لبخند زدن، لب شما به اندازه قبل بالا نمیرود و لثههایتان کمتر نمایان میشوند. البته باید به خاطر داشته باشید که بوتاکس یک روش درمانی دائمی نیست.
طبق آمار پزشکی، انتظار میرود که نتایج درمان با بوتاکس ظرف یک هفته قابل مشاهده باشند. این نتایج معمولاً به مدت سه تا شش ماه ماندگاری دارند. پس از این مدت، برای رفع لبخند لثه ای خود، مجدداً باید بوتاکس تزریق نموده یا گزینه دیگری را انتخاب کنید.
5.یک روش کاملاً جدید: تزریق اسید هیالورونیک
در سال ۲۰۱۸، تکنیک جدیدی برای درمان لبخند لثه ای معرفی و پیشنهاد شد.. این روش شامل تزریق مقدار کمی اسید هیالورونیک به ناحیه پارانازال (اطراف بینی) صورت است. این کار باعث محدود شدن حرکت عضلات جانبی این ناحیه شده و در نتیجه، از بالا رفتن بیش از حد لب بالایی هنگام لبخند زدن جلوگیری میکند. این روش شباهتهایی به تزریق بوتاکس دارد و میتواند جایگزین مناسبی برای آن باشد. با این حال، مهم است که بدانید این روش برای درمان همه موارد لبخند لثه ای مناسب نیست. از آنجایی که این یک تکنیک نسبتاً جدید است، حتما باید دندانپزشکی را پیدا کنید که در تزریق مواد و آناتومی صورت، تجربه و مهارت بالایی داشته باشد.
روشهای جراحی برای درمان لبخند لثه ای
اکثر افراد فکر میکنند که علت لبخند لثه ای آنها، کوتاه بودن دندانها است. اما معمولا دلیل اصلی این مشکل، پوشیده شدن بیش از حد دندانها توسط بافت لثه به دلیل وضعیتی به نام رویش نامناسب دندانها (Altered Passive Eruption) میباشد.
جراحیهای لیفت، با برداشتن بافت اضافی لثه به شما در داشتن لبخندی زیبا و بدون نقص کمک میکنند. در ادامه، به روشهای مختلف جراحی لیفت لثه و سایر گزینههای مرتبط با جراحی برای درمان لبخند لثه ای میپردازیم.
جراحی افزایش طول تاج یا ژنژیوکتومی همگی به برداشتن بافت اضافی لثه و اصلاح خط آن اشاره دارند.
1. جراحی لثه(ژنژیوکتومی)
- این روش برای برداشتن بافت اضافی لثه به مقدار کم تا متوسط مناسب میباشد.
- ژینژیوکتومی یکی از محبوبترین درمانها برای اصلاح لبخند لثه ای است.
- علاوه بر برداشتن بافت اضافی، این روش بافت باقیمانده لثه را نیز فرم دهی میکند.
- این کار به دندانپزشک شما اجازه میدهد تا دندانها و لثه را متناسب با لبخند مورد نظر شما شکل دهد.
- دوره بهبودی برای جراحی برداشتن لثه معمولا یک هفته است. ممکن است در این مدت دچار تورم و درد خفیف شوید؛ اما بعد از این مدت شروع به مشاهده نتایج خواهید کرد.
2. جراحی افزایش طول تاج
- از این روش زمانی استفاده میشود که نیاز به برداشتن مقدار زیادی از بافت لثه وجود داشته باشد.
- اگر دندانها به طور کامل شکل نگرفته باشند ممکن است کوتاه به نظر برسند. در این صورت، دندانپزشک شما ممکن است جراحی افزایش طول تاج را انجام دهد.
- این جراحی مقداری از بافت لثه یا استخوان را برداشته و بافت باقی مانده را فرم دهی میکند، که این روش درمانی، به نمایان شدن بیشتر دندانها و بازگشت لثه به موقعیت طبیعی خود کمک میکند.
- نتایج جراحی افزایش طول تاج معمولا طی 4 تا 6 هفته به طور واضح قابل مشاهده خواهد بود.
تفاوت اصلی بین تراش لثه با سایر روشهای درمانی مانند ونیر یا روکش دندان این است که تراش لثه مستقیما روی بافت طبیعی لثه کار کرده و مشکل را به اصطلاح، از ریشه درمان میکند.
3. لیزر درمانی برای اصلاح لثه (Laser Gum Contouring)
روش دیگری که برای اصلاح مشکل بافت اضافی لثه انجام میگیرد، لیزر درمانی است. این روش، یکی دیگر از روشهای جراحی زیبایی لیفت لثه بوده که تا حدودی مشابه با عمل ژینژیوکتومی است. با این حال، در این روش از لیزرهای مخصوص دندانپزشکی برای برداشتن بافت اضافی لثه استفاده میشود.
درمان لبخند لثه ای با لیزر، نسبت به سایر روشها، از دقت و راحتی بیشتری برخوردار است. در این روش، دندانپزشک بافت اضافی لثه را برداشته و بافت باقیمانده را به گونه ای فرم میدهد که بخش بیشتری از دندان نسبت به لثه نمایان شود. این روش نسبت به برخی روشهای دیگر، درد و عوارض پس از عمل کمتری دارد.
با این حال، در هر دو روش ژنژیوکتومی و لیزر درمانی، از بیحسی موضعی استفاده شده و ممکن است بعد از عمل کمی احساس ناراحتی داشته باشید.
4.جراحی تغییر موقعیت لب (lip repositioning surgery)

اگر علت اصلی لبخند لثه ای شما مربوط به مشکل در لب بالایی باشد، میتوانید جراحی تغییر موقعیت لب را انجام دهید. زمانی که لب بالایی کوتاه و یا بیشفعال است، هنگام لبخند زدن، بافت لثه به میزان بیشتری نمایان میشود. در این شرایط، ممکن است دندانها و لثهها از نظر اندازه تناسب داشته باشند، اما به دلیل موقعیت لب، لبخند همچنان لثه ای به نظر میرسد.
جراحی لب به دندانپزشک این امکان را میدهد تا موقعیت لب بالایی را تغییر دهد. انجام این روش درمانی باعث میشود لبخند کمتر لثه ای به نظر برسد. در این روش، دندانپزشک دو برش کوچک در خط لثه، که زیر لب قرار دارد، ایجاد میکند. سپس، نوار نازکی از بافت لثه را برداشته و آن را به نقطهای پایین تر بخیه میزند. بنابراین، هنگام لبخند زدن، لب بالایی شما به اندازهی قبل بالا نرفته و لثهها را نمیپوشاند. این جراحی نیز یک روش کم خطر و بسیار موثر است. برخلاف تصور برخی افراد، در این روش، هیچگونه تغییری در ظاهر کلی لبها یا صورت ایجاد نمیشود.
دوره بهبودی این روش جراحی حدود دو هفته است. در طول این مدت، ممکن است در محل جراحی کمی ناراحتی و احساس کبودی را تجربه کنید. همچنین، تا زمانی که دهان و لبهایتان بهبود پیدا کنند، ممکن است نیاز باشد تا چهار هفته از لبخند زدن اجتناب کنید. به این ترتیب، روی خط لثه ای که توسط پزشک در حین جراحی شکل داده شده، تأثیری نمیگذارید. به طور کلی، شما میتوانید نتایج نهایی جراحی را بعد از چهار هفته مشاهده کنید.
5.بلند بودن فک بالا؟ جراحی فک و صورت را امتحان کنید (Maxillofacial surgery)

در برخی موارد، علت لبخند لثه ای عدم تناسب در ساختار استخوانی صورت است. این مورد یکی از شایع ترین دلایل لبخند لثه ای نیست، بنابراین افراد زیادی برای اصلاح لبخند لثه ای خود به این جراحی نیاز پیدا نخواهند کرد. همچنین، این پیچیده ترین جراحی در میان لیست روشهای ارائه شده در این مطلب است که به نوعی میتوان آن را به عنوان جراحی پلاستیک در نظر گرفت.
برخی افراد، فک بالایی بلندتری نسبت به سایر قسمتهای صورت خود دارند. به طور معمول، یک صورت “متناسب” دارای ساختاری سهبخشی و متعادل است. این تناسبات شامل 3/1 برای پیشانی، 3/1 برای قسمت میانی صورت (فک بالا) و 3/1 برای قسمت پایینی صورت است. گاهی اوقات، رشد صورت به گونهای است که قسمت میانی صورت (فک بالا) در مقایسه با سایر قسمتها، بلندتر میشود. در علم پزشکی، این وضعیت به عنوان “اِکسِس عمودی ماگزیلا” (Vertical Maxillary Excess) شناخته میشود. این شرایط باعث میشود که لب بالا هنگام لبخند زدن، بیش از حد بالا رفته و لثهها بیشتر نمایان شوند. برای اصلاح این مشکل، باید تحت عمل جراحی فک و صورت قرار بگیرید.
نحوه انتخاب درمان مناسب برای لبخند لثه ای
تنوع روشهای درمانی ارائه شده برای اصلاح لبخند لثه ای میتواند گیجکننده باشد. گاه، علل این عارضه با چندین روش درمانی همپوشانی دارد. به همین منظور، جدولی برای مقایسه آسانتر روشهای مختلف درمانی تهیه کردهایم.
| مشکل زمینه ای | دوره نقاهت | دائمی / موقت | جراحی / عدم جراحی | روش درمان |
| نامرتبی دندان ها، مشکلات رشد فک | 5 روز | دائمی | بدون جراحی | ارتودنسی (براکت، اینویزیلاین و غیره) |
| دندان های کوچک | 2 هفته – چند روز | دائمی | بدون جراحی | روکش و تاج دندان |
| خط لثه پایین تر از جایگاه مناسب | چندین روز | موقت | بدون جراحی | جرم گیری و بروساژ ریشه |
| لب بالایی بیش فعال (بالا رفتن بیش از حد لب بالایی هنگام لبخند) | 2-3 روز | موقت | بدون جراحی | بوتاکس |
| لب بالایی بیش فعال (بالا رفتن بیش از حد لب بالایی هنگام لبخند) | چندین روز | بدون جراحی | تزریق اسید هیالورونیک | |
| بافت اضافی لثه | 1-2 هفته | دائمی | جراحی | جراحی برداشتن لثه |
| بافت اضافی لثه، دندان های رشد نیافته | 3 ماه | دائمی | جراحی | جراحی افزایش طول تاج |
| بافت اضافی لثه | 7-10 روز | دائمی | جراحی | جراحی لیزر لثه |
| لب کوتاه/بیش فعال، خط لثه نامناسب | 2 هفته | دائمی | جراحی | جراحی تغییر موقعیت لب |
| فک بالایی بلند | 6-12 هفته | دائمی | جراحی | جراحی فک و صورت |
هزینه درمان لبخند لثه ای: عوامل مؤثر و محدوده قیمتی
تعیین دقیق هزینه درمان لبخند لثهای بدون بررسی شرایط فردی بیمار ممکن نیست. شرایط متعددی بر هزینه درمان تاثیرگذار هستند که در ادامه ذکر میشود.
عوامل مؤثر بر هزینه درمان:
روش درمانی: لیزر و بوتاکس که درمانی کم تهاجمی حساب میشوند ارزانتر از روشه های جراحی مثل جینجیوکتومی یا جراحی فک هستند.
شدت مشکل: میزان دیده شدن لثه هنگام لبخند، بر نوع و گستردگی درمان تأثیر دارد. موارد پیچیده، هزینه بالاتری دارند.
تجربه دندانپزشک: دندانپزشکان متخصص و باتجربه معمولاً تعرفه بالاتری دارند، اما نتایج درمان هم قابل پیشبینیتر است.
موقعیت کلینیک: درمان در شهرهای بزرگ یا مناطق خاص معمولاً هزینهبرتر از سایر مناطق است.
محدوده هزینه درمان (تخمینی) برای سال 1404
برای اینکه یک تصویر کلی از هزینهها داشته باشید، توی جدول زیر یه محدوده حدودی برای هر کدوم از این روشها آورده شده. فقط این رو هم در نظر داشته باشید که این اعداد، خب، فقط یه تخمین هستند؛ برای اینکه دقیقاً بفهمید هزینه چقدر میشه، باید برید و حتماً با یه دندانپزشک مشورت کنید.
| روش درمانی | محدوده هزینه (تومان) |
|---|---|
| تزریق بوتاکس | 2,000,000 تا 4,000,000 |
| لیزردرمانی (جینجیوکتومی با لیزر) | 2,000,000 برای هر واحد دندان |
| جراحی لثه (جینجیوکتومی) | 5,000,000 تا 15,000,000 |
| جراحی فک (ارتوگناتیک) | بیش از 20,000,000 |
| تزریق اسید هیالورونیک | 2,500,000 تا 5,000,000 |
| ارتودنسی | 50,000,000 تا 180,000,000 |
آیا درمان لبخند لثه ای شامل پوشش بیمه میشود؟
این درمانها اغلب به دلیل جنبه زیبایی، تحت پوشش بیمههای درمانی پایه یا تکمیلی قرار نمیگیرند. با این حال، در برخی موارد نادر و در صورت تشخیص پزشک مبنی بر اینکه این مشکل سلامت دهان و دندان را به خطر میاندازد، ممکن است بخشی از هزینه تحت پوشش قرار گیرد. بهترین کار قبل از شروع درمان، اینه که با شرکت بیمه خودتون تماس بگیرید و از پوشش بیمه ای اطلاع کسب کنید.
برای ارزیابی و برآورد هزینه دقیق برا اساس شرایط خودتان، با شماره 02122229666 تماس بگیرید.
عواملی که قبل از درمان باید در نظر بگیرید
بهترین کار قبل از تصمیم گیری برای درمان، مشورت با دندانپزشک است. دندانپزشک شرایط خاص شما را تشخیص میدهد و روش مناسبی که با شرایط شما تطبیق دارد را برای درمان انتخاب میکند. عواملی که در نظر گرفته میشوند عبارتند از:
- شناسایی علت دقیق لبخند لثه ای (فک، لثه، دندان یا لب ها) توسط دندانپزشک، تعیین کننده بهترین گزینه درمانی است.
- درمان هایی مثل بوتاکس بدلیل هزینه کمتر، مقرون به صرفه تر از روشهایی مثل ارتودنسی یا جراحی بنظر میایند اما توجه داشته باشید که اینها روشهای درمانی موقتی هستند.
- درمان های جراحی غالبا نسبت به روشهای درمانی غیرتهاجمی مثل بوتاکس یا کانتورینگ لثه، برای بهبودی نیاز به زمان بیشتری دارند.
- بعضی از روشهای درمانی مثل جراحی ارتوگناتیک نتایجشان دائمی است اما بعضی از روشهای مثل بوتاکس نیازمند انجام جلسات مکرر هستند.
چه معیارهایی شما را واجد شرایط جراحی لبخند لثه ای میکند؟

- اگر موقع لبخند زدن بیشتر از 3 میلیمتر از بافت لثه تان مشخص میشود.
- داشتن سلامت کلی دهان و دندان و نداشتن بیماری های لثه و عفونت لثه
- افرادی که دچار افزایش ارتفاع فک یا ناهمترازی فک هستند و به اصلاح نیاز دارند.
- لب بالا اگر بیش فعال باشد یا به طور مادرزادی کوتاه باشد، میشود با جراحی موقعیت آن را تغییر داد.
- برخی بیماران مشکل در چینش دندانها دارند؛ همین مسئله باعث میشود لثه بیش از حد مشخص باشد.
- بیشتر موارد جراحی برای بزرگسالان توصیه میشود؛ وقتی رشد صورت متوقف شده.
- درک درست و واقعی از نتیجه جراحی و عوارض احتمالی که ممکن است جراحی داشته باشد.
نتیجه گیری
به طور خلاصه، راههای زیادی برای رفع مشکل لبخند لثه ای وجود دارد. میتوانید با توجه به مشکل زمینه ای لبخند لثه ای خود، یکی از گزینه های جراحی یا بدون جراحی را که در بالا ذکر شد، انتخاب کنید. در اکثر مواقع، لخنده لثه ای خطری برای سلامتی به همراه ندارد. با این حال، میتواند برای بسیاری از افراد استرس روانی زیادی ایجاد کند. داشتن لبخند لثه ای بسیار رایج است و میتوان آن را با روشهای کم دردسر اصلاح نمود.
دندانپزشک شما در طول مشاوره اولیه، مشکل زمینه ای لبخند لثه ای شما را شناسایی میکند. سپس میتوانید با توصیه دندانپزشک، گزینه ای را در نظر بگیرید که به بهترین وجه با نیازهای شما مطابقت داشته باشد. اگر یکی از روشهایی که در بالا ذکر شد برای شما جالب توجه است، حتما آن را با دندانپزشک خود در میان بگذارید.
در کلینیک دندانپزشکی دکتر حاکم زاده اصلاح لبخند لثه ای با لیزر بدون درد و خونریزی انجام میشود. برای مشاوره و دریافت نوبت با ما تماس بگیرید.
