
رشد لثه تحلیل رفته چگونه انجام میشود؟
نوامبر 1, 2025
چطور از دهانشویه بیشترین بهره را ببریم؟
نوامبر 20, 2025Last Updated on نوامبر 11, 2025 by دکتر سیده مریم حاکم زاده
جالب است بدانید که پوسیدگی دندان، اولین بیماری عفونی مزمن در میان کودکان شناخته می شود. این مشکل، یک دغدغه ی جهانی در حوزه بهداشت عمومی بوده که نه تنها کشورهای صنعتی را درگیر کرده، بلکه کشورهای در حال توسعه را نیز، تحت تأثیر قرار داده است. این معضل در کودکان، اثرات فوری و طولانی مدتی داشته و همچنین می تواند اثرات اجتماعی و اقتصادیِ قابل توجهی بر خانواده ها بگذارد.
به محض اینکه اولین دندان های کودک در دهان او پدیدار می شوند، باید مراقب پوسیدگی دندان ها بود. اگر کودک زیر 3 سال دارید، هر علامتی از پوسیدگی دندان، به عنوان پوسیدگی شدید اولیه دوران کودکی (S-ECC) در نظر گرفته شده و باید حتما به دندانپزشک گزارش داده شود.

پوسیدگیهای اولیه دوران کودکی (ECC) چیست؟
برای این عارضه، به غیر ازECC ، نامگذاری های دیگری نیز در نظر گرفته شده است. مثلا نام هایی مانند پوسیدگی ناشی از مصرف شیشه شیر، کرم خوردگی ناشی از شیشه شیر، پوسیدگی ناشی از شیردهی و فساد دندانی شیشه شیر اشاره کرد.( اگرچه در ترجمه، بیشتر این اصطلاحات شبیه هم هستند، اما اصطلاحات انگلیسی آنها کاملا با یکدیگر متفاوت است).
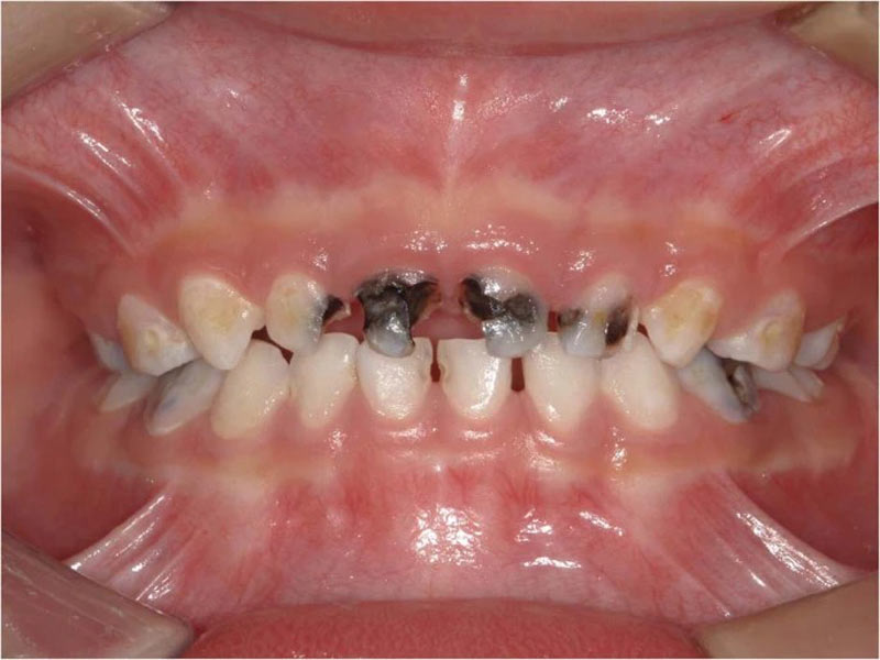
اگر کودک تا 6 سالگی، یک یا چند دندان شیریِ پوسیده شده، کشیده شده (به دلیل پوسیدگی) یا پر شده داشته باشد، می توان گفت که دچار پوسیدگی زودرس دندان (ECC) شده است. با این حال، در مجموع، منظور از ECC الگوی خاصی از پوسیدگی بوده که در امتداد خط لثه ی دندان های شیری کودکان اتفاق می افتد. در چنین شرایطی، معمولاً چهار دندان پیشین بالایی (چهار دندان جلویی) بیشتر تحت تأثیرِ پوسیدگی قرار خواهند گرفت.
چه چیزی باعث بروز پوسیدگی اولیه ECC میشود؟
در میان عوامل مختلفی که باعث ایجاد این عارضه در دندان کودکان می شوند، رژیم غذایی نامناسب و بهداشت ضعیف دهان و دندان، مهم ترین عوامل می باشند.
1. عوامل باکتریایی
وجود دو باکتری اصلی در دهان، باعث پیشرفت پوسیدگی دندانی می شوند: استرپتوکوکوس موتانس و استرپتوکوکوس سوبرینوس. این دو باکتری با مصرف قندی که روی دندان های شما باقی مانده، مقدار زیادی اسید را به عنوان یک محصول زائد تولید می کنند. این اسید به راحتی می تواند دندان را در خود حل کند.

بر اساس تحقیقات انجام شده، در پلاک هایی که از دندانِ کودکان مبتلا به پوسیدگی زودرس اولیه (ECC) تراشیده شده، باکتری هایی مشاهده شده است، که 30٪ از این باکتری ها توسط استرپتوکوکوس موتانس تولید شده اند. این در حالیست که این میزان باکتری در کودکانی که پوسیدگی ناچیز در دندان های خود دارند یا اصلا پوسیدگی ندارند، کمتر از 1/0٪ می باشد.
2. مصرف قند
بدیهی است که مصرف غذاها و نوشیدنی های شیرین، احتمال پوسیدگی دندان را افزایش می دهد. البته زمانی که قند، به طور کامل از روی دندان پاک نشود، پوسیدگی سریعتر رخ خواهد داد.
3. شیردهی
یکی از عواملی که تاثیر قابل توجهی در ایجاد و شدت ECC دارد، استفاده نامناسب از شیشه شیر کودک است. مثلا پر کردن شیشه شیر با آب میوه، شربت یا نوشابه می تواند باعث نفوذ مواد قندی به قسمت های مختلف شیشه شود. همچنین، نباید سر شیشه شیر یا پستانک آن را در مواد شیرین مانند عسل، فرو برد.
زمانی که کودک برای نوشیدن آب میوه یا نوشیدنی شیرین از فنجان استفاده می کند. قند نوشیدنی به سرعت از روی دندان های کودک عبور کرده و باعث ایجاد پوسیدگی کمتری در دندان ها می شود. اما وقتی کودک برای نوشیدن، شیشه شیر را به آرامی می مکد، قند در دهانش باقی می ماند.
4. تغذیه طولانی مدت با شیشه شیر یا شیردهی شبانه

یکی دیگر از عاداتی که باعث ایجاد ECC شدید می شود، استفاده طولانی مدت از شیشه شیر قبل از خواب است. اگر کودک عادت دارد با شیشه شیر بخوابد، احتمال پوسیدگی بیشتر می شود؛ به خصوص اگر شیشه با نوشیدنی های شیرین پر شده باشد. اگرچه شیر و شیر خشک از نظر فنی نوشیدنی های شیرین نیستند، اما حاوی قند لاکتوز هستند. البته، باکتری هایی که در دهان کودک وجود دارند، میتوانند این قند را تجزیه کرده و در نتیجه، اسیدهای پلاک را آزاد کنند.
5. قرار گرفتن ناکافی در معرض فلوراید
فلوراید باعث سفت تر شدن مینای دندان میشود. فلوراید را میتوان از آب یا خمیردندان حاوی فلوراید کسب نمود. دندان کودکانی که کمبود دریافت فلوراید دارند به راحتی پوسیده میشوند.
6. عوامل ژنتیکی
بعضی از نوزادان و کودکان بدلیل ضعف ژنتیکی منحصربه فرد مینای دندان، احتمال عفونت باکتریایی در آنها بیشتر است. همین امر منجر به پوسیدگی دندان میشود.
علائم اولیه پوسیدگی زودرس دندان در دوران کودکی
ECC از طریق برخی علائم و نشانه ها قابل شناسایی است. تشخیص زودهنگام به جلوگیری از عوارض بیشتر آن کمک میکند.
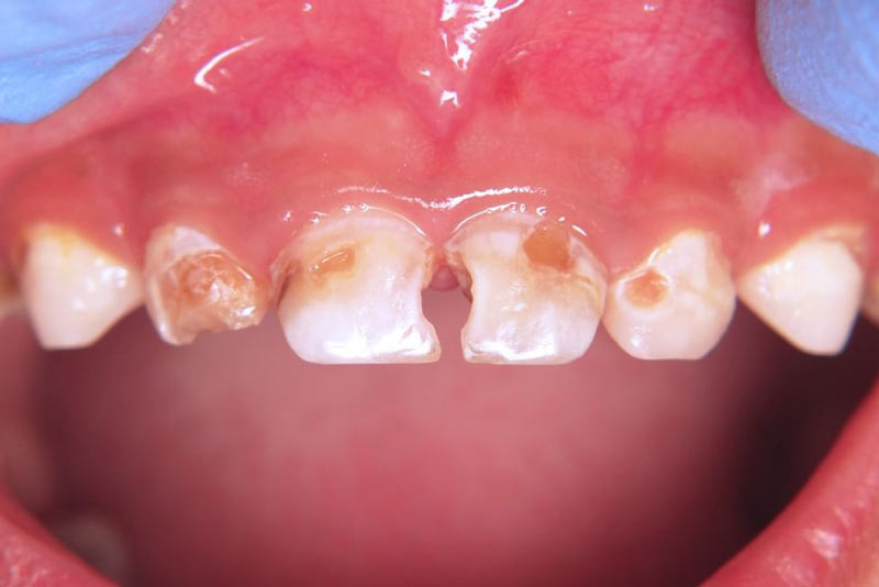
- لکههای سفید روی دندانها
- پوسیدگیهای قهوهای یا سیاه
- حساسیت دندان
- درد و ناراحتی
- تورم یا تشکیل چرک
- بوی بد دهان
ECC چگونه درمان می شود؟
وقتی ECC تشخیص داده میشود، درمانش بستگی داره به شدت بیماری، یعنی همه چیز کمی به وضعیت دندانها و میزان آسیب ربط پیدا میکنه.
1. فلوراید تراپی
پوسیدگیهای اولیه، بعضی مواقع، با استفاده حرفهای از فلوراید، قابل برگشت هستن. در واقع، گاهی همون مرحله اوله که میتونه فرق بزرگی ایجاد کنه.
2. سیلانتهای دندانی
سیلانتها جلوی تجمع پلاک و باکتری توی شیارهای دندان رو میگیرن. این کار مخصوصاً برای دندانهای آسیاب مهمه و میتونه از مشکلات بعدی پیشگیری کنه.
3. پر کردن و روکش دندان
وقتی پوسیدگی پیشرفت کرده، پر کردن یا استفاده از روکشهای استیل ضد زنگ میتونه دندان رو ترمیم کنه و کارکردش رو حفظ کنه. درستِ، شاید ظاهرش کمی فلزی باشه، ولی محافظت واقعی همینه.
4. کشیدن دندان
در موارد شدید، وقتی دندان قابل نجات نیست، کشیدنش ضروری میشه تا از شیوع عفونت جلوگیری بشه. این گزینه آخره، اما گاهی واقعاً چارهای نیست و باید انجام شود.

چگونه میتوان از پوسیدگی زودرس دندان جلوگیری کرد؟
برای جلوگیری از پوسیدگی دندان ها باید رژیم غذایی سالم را رعایت کرده و به بهداشت دهان و دندان رسیدگی کرد. مثلا مراجعه منظم به دندانپزشک می تواند در حفظ دندان ها بسیار موثر باشد.
همچنین می توان از عاداتی که زمینه را برای ایجاد پوسیدگی فراهم می کنند، جلوگیری کرد:
- بهتر است کودکان قبل از خواب، به جای نوشیدنی های شیرین، با شیشه شیری حاوی آب جوشیده خنک بخوابند. حتی قندهای طبیعی موجود در شیر و شیر خشک نیز با چسبیدن روی دندان های کودک در طولانی مدت می توانند باعث پوسیدگی شوند. زیرا بزاق دهان که معمولاً به شستن قندها کمک می کند، در زمان خواب کمتر خواهد شد.
- پس از رشد اولین دندان شیری و شروع مصرف سایر کربوهیدرات های غذایی، باید به ندرت مدت شیردهی را کمتر کرد.
- نوزادان نباید پس از ۱۲ تا ۱۴ ماهگی از شیشه شیر استفاده کنند. با این حال، میتوان از ۶ ماهگی با فنجان به کودک نوشیدنی داد.
- نوزادان باید با در آستانه ی ۱۲ ماهگی به جای شیشه شیر، از فنجان برای مصرف نوشیدنی ها استفاده کنند.
- بهتر است در طول روز، زیاد از نوشیدنی های شیرین استفاده نکرده و مصرف غذاهای شیرین کاهش یابد.
جالب است بدانید که مطالعات ژنتیکی نشان داده است که در زمان رویش اولین دندان های شیری نوزاد، باکتری استرپتوکوکوس موتانس عموماً از فردی که از نوزاد مراقبت می کند، به نوزاد منتقل می شود. بنابراین، در بیشتر موارد، وضعیت دندان های نوزاد همانند مادر می باشد، زیرا معمولاً مراقب اصلی نوزاد، مادرش است. بنابراین، بهتر است مادران باردار یا زنانی که قصد بارداری دارند، از سلامت دهان و دندان خود مطمئن شده و وجود هرگونه پلاک، جرم یا پوسیدگی را در دندان ها بررسی کنند.

